Smile Gallery
Explore our real patient results. At YC Dental, Dr. Yesenia Camacaro provides personalized dental treatments that improve both oral health and confidence. Here is one of our recent smile transformations.
Explore our real patient results. At YC Dental, Dr. Yesenia Camacaro provides personalized dental treatments that improve both oral health and confidence. Here is one of our recent smile transformations.
CASE 01
Sharing our patients’ stories showcasing Dr. Yesenia Camacaro’s amazing work at YC Dental is so exciting!
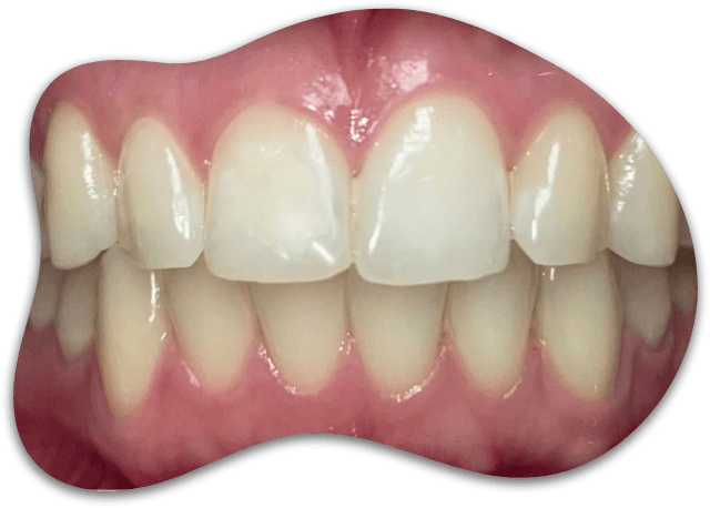
Valeria came in for her 6-month teeth cleaning checkup after getting a professional teeth whitening treatment with us back in October 2023. We’re thrilled to see her beautiful, bright white smile looking fantastic half a year later.







‘I’m happy to be back! The first 24 hours I just had a little sensitivity. But after that, there was no pain or sensitivity. I love my new white smile and I’m so happy with the result!’
Our teeth whitening treatments deliver outstanding results with minimal discomfort. We’re so glad Valeria is loving her dazzling new smile!
If you’re interested in professional teeth whitening in Orange, CA, book your consultation today!