Smile Gallery
Explore our real patient results. At YC Dental, Dr. Yesenia Camacaro provides personalized dental treatments that improve both oral health and confidence. Here is one of our recent smile transformations.
Explore our real patient results. At YC Dental, Dr. Yesenia Camacaro provides personalized dental treatments that improve both oral health and confidence. Here is one of our recent smile transformations.
CASE 01
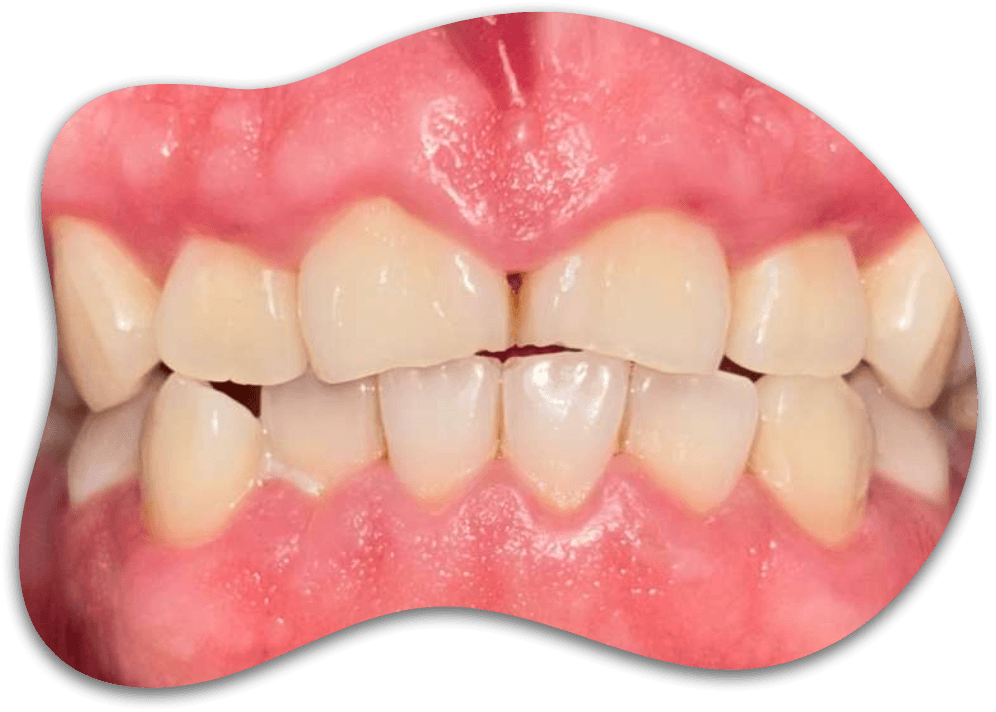
This patient came to YC Dental with significant gum inflammation and discomfort. Through deep cleaning treatment and consistent home care, Dr. Yesenia Camacaro guided the patient toward a healthier, more stable periodontal condition. Here is the month-by-month progress.


Initial condition with active inflammation.

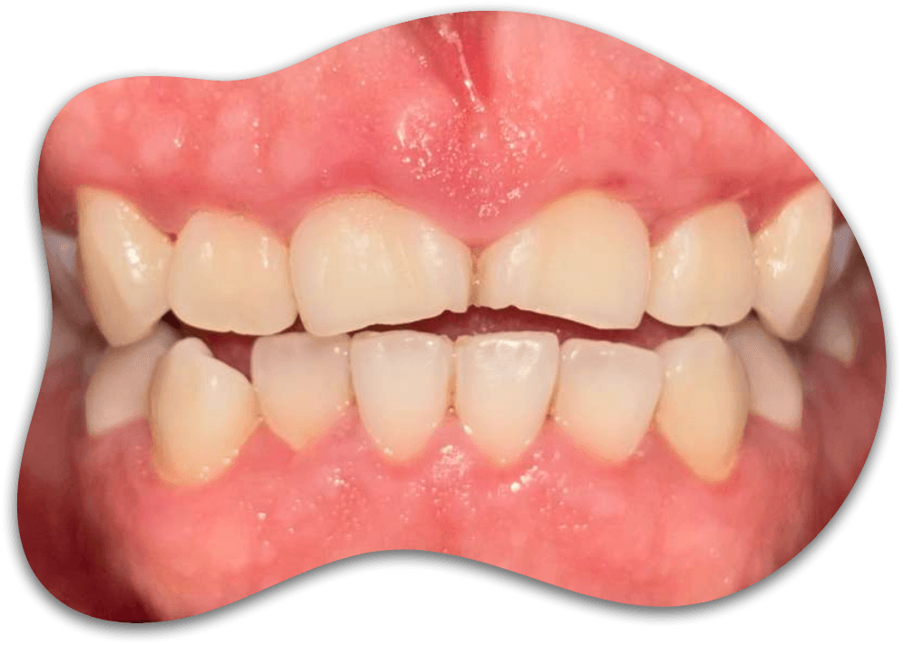
One month after deep cleaning, showing reduced swelling.

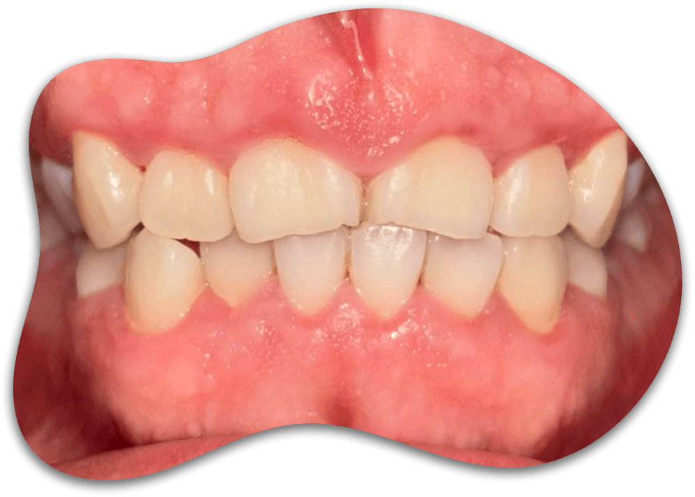
Continued healing one month after the initial treatment.

Eight months after deep cleaning during his periodontal maintenance appointment; gum health significantly improved.

Patient is maintaining excellent oral hygiene to keep his gums healthy and stable.